西村歯科医院では、こどもの健康的な発育が出来る環境を整える事が大切だと考えています。「良い魚を育てるには、良い水が必要」という考え方ですね。
そのため、しっかり「食事がしっかり摂れる様にする」「発音が出来る様にする」「顎の関節が自由に動かせる様にする」「呼吸がしっかり出来る様にする」「睡眠が充分とれる身体が休める様にする」を目標にしています。
しかし、この時期は限られています。身長の成長時をお考えください。例えば、小学1年生と6年生では、身長が2倍近く成長する様に、年齢が低いほど、成長量(影響力)が大きいです。同じ1年でも、15歳と6歳では、矯正装置の効果は違います。成長の旺盛な時期から、お子さんの顎の発育不足を早期に発見し、改善する必要性があるという考え方から、西村歯科医院では、「こども矯正」に取り組んでいます。
小学生の時期は、上顎が良く発育する時期です。

そして、中学生以降は、下顎が良く発育す時期になります。つまり、小学校の時期の反対咬合は、上顎が小さい(発育不足)の反対咬合ので、上顎が発育し易い環境を整える事が大切です。
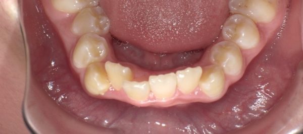
では、顎の成長の遅延はどこで判断するでしょうか?
→それは、上顎4前歯部の生え変わりで判断します。
前歯が、重なっている場合は、顎の横幅が狭いことになり、顎の成長が、遅延していると判断します。大切なのは、「なぜ?」顎の遅れが生じたのか?が大切です。
例えば、「指しゃぶり」をしていると前歯が前突になったり、「うつぶせ寝」や、「反対の咬み合わせ」をすると、上顎前歯部が、内側に生える事により、上顎骨の発育が遅れてしまう様に、反対咬合の原因になったります。
そのことを解消し、順調な発育を見ていくのが、「こども矯正」の目的です。
これは、大人の矯正では、原因を改善しても「顎の大きさ」は改善しないため、子供の矯正と大人の矯正と大きな違いになります。
また、顎の成長は部分的なものではなく、顔の成長の中で総合的に成長します。特に、口の成長は、呼吸・関節・嚥下・睡眠とも関連し、お子様の成長に深く関わっています。
以下の習慣は、ありませんか?この習慣を気を付けることにより、不正咬合が改善する場合があるのは、成長期にある子供の時期だけです。大人になってから改善する事はありません。
ここが、子供の矯正と大人の矯正との大きな違いです。
T4Kを使用する皆様へ 西村歯科医院
T4Kは、成長期の子供の治療に最適な矯正用装置です。
西村歯科では、多くの固定性装置が抱えている問題点を説明する義務があると信じて
T4Kを薦めています。
(固定性装置の抱える問題点)
①虫歯になり易い
②対人関係に消極的になり易い(審美性が低下する)
③エナメル質の汚れ
④食事の制限
⑤口内炎が出来やすい など
この様な固定性装置の抱えている問題点を、よく説明する必要があります。
しかし、順応性が無く、T4Kを使用せず顎の成長を不正咬合に導く咬み合わせがある場合は、緊急性を要しますので固定性装置を選択せざる負えなくなります。
一番大切なのは、親と子供のやる気です!
T4Kは、この様な「固定性装置が抱えている問題点」をすべて払拭(ふっしょく)する装置なのです。
(T4Kの使用の仕方)
① 就寝時に付ける事。
朝外れていても構いません。続けることが大切です。
② 家にいる時に付ける。
気付いた時にいれる。先ずは慣れることが先決です。
気付いた時に付ける・宿題の時・テレビを見ているとき・夜の歯ブラシをした後などにして下さい。長時間入れれば入れるほど早く治ります。歯ブラシ後が多いようですが、洗面台のところに置くと洗ったり出来るので継続し易いと思います。
③ 学校へは装着しないで構いません。
たとい、1歩前進、2歩後退でも構いません!やり続けることが大切です。
そうすれば、必ず良い結果が現れるでしょう。
T4Kの目的は、
① 鼻呼吸を促すこと
② 歯列を整える
③ 正しい嚥下の仕方(舌を出さない嚥下の仕方を覚えること)
を目的にしています。鼻の通りが悪い場合は、お湯に付けたタオルをマスクの様に鼻に当て水蒸気を吸ってみましょう。鼻の通りが良くなります。






当院でお配りしている矯正についての解説漫画を無料でお送りいたします。


