小児矯正・こども矯正で必要な鼻呼吸の
具体的な方法と考え方
―アクティビティトレーニングについて―
- 1.毎日TRAINERを入れて鼻呼吸の練習をしましょう
①毎日6回以上鼻で深呼吸をして下さい
②姿勢を起こして鼻の深呼吸をしましょう
③鼻から吸って鼻から出すのが鼻呼吸です
鼻から吸って口から出すのは口呼吸なので
注意しましょう
鼻から空気が出ているか確認するには・・・
保護者の方がお子さんの鼻の穴の前に人差し指を
当てましょう
鼻呼吸していることを確認しながら6回以上、
深呼吸を行ってください
①~③が出来たら、アクティビティトレーニングの欄に保護者の方がシールを貼って下さい
■注意事項
最初の1週間は、
①「口を閉じる」
②「鼻で呼吸する」
習慣付けが大切です。
大切な事は、
A.馬油による鼻うがいを実行しましょう
B.サージカルテープ
C. ツボ(四白)を
10秒間マッサージしましょう。
必ず「お子さん」と「保護者の方」二人で行いましょう。
今までの「口呼吸」を「鼻呼吸」に変えるのは、「左利き」を「右利き」に変える位、根気が必要です。
しかし、1週間もしっかりやると大分変化が見られます。
まずは1週間「しっかり」と頑張ってみてください。
ところで、「禁煙」は何故上手に行かないのでしょうか?
それは、一人でするからです。
つまり、「禁煙している」という行為を誰かが「認めてやる」と継続できるのです。
それと同様に、「鼻呼吸」の練習もそれを行ったと認めてくれる人(=支援者又はサポーター)がいれば継続できます。
是非、このサポーター役に保護者の方がなってあげてください。
具体的には、アクティビティートレーニング(鼻呼吸6回の深呼吸)を行っている時に、鼻の前に指を置き、鼻から空気が出ているか?を確認します。そして「いーち、にー、さーん、しー・・・」と呼吸の回数を数え、6回以上できれば、表にシールを保護者の方が貼ります。これで「認めた!」という事になるのです。よろしくお願いします。
- 2.T4Kトレーニング
アクティビティートレーニングが終了したら、そのまま継続して、口の中にT4Kを入れ、
口にサージカルテープを貼って、「口を閉じながら」1時間過ごしてください。
これがT4Kトレーニングです。
1時間できたら、保護者の方が「認めた!」という事で、本人の前でT4Kの欄にシールを
貼ってください。
3.『TRAINER(トレーナー)』を入れて就寝
最初の1週間は習慣付けのために・・・、
『TRAINER(トレーナー)』を口に入れる→ サージカルテープを貼る
この行為をしてください。かなりの改善が見られるはずです。
※鼻が苦しい時は「馬油での鼻うがい」をしてからサージカルテープを貼りましょう。
これが出来たら夜間の欄にシールを貼ってください。
矯正治療説明書
生年月日 平成24年4月19日 9歳5か月 女性
(* 矯正治療説明書の有効期限は、歯根状況により変化する為、4ヶ月間となります。)
(症状、患者さんの主訴について)
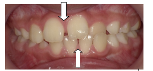
- 下顎正中が、左側へ 偏移 している。
- 上下顎 左側 側切歯 反対咬合
- 右上6歳臼歯が生えて来ないので、生えてくるか?心配しています。

(これまでの経過)
学校検診で歯並びを指摘された。(部位不明)
近隣の〇〇歯科に相談すると、仙台市「△△矯正歯科」を紹介され、
主訴①②③を指摘受ける。(R3年8月15日)仙台市「△△矯正歯科」では、顎変形症かもしれないので、今のところ治療はできず、大人になって成長が止まってから、本人が気になる様であれば手術で治す様に説明を受ける。その後、西村歯科医院を受診。






当院でお配りしている矯正についての解説漫画を無料でお送りいたします。


