西村歯科医院の子供矯正歯並びの特徴をご説明します。
これは、こども矯正の相談にご来院された保護者の方の質問に答えた内容ですが、
ご一読されると、理解しやすいと思いますので、読まれてください。
(保護者の方の質問)
学校での授業を受けられるか?ご飯は食べられるか?心配しています。
(回答)
→矯正開始時は、西村歯科医院の「こども矯正」の場合は、最初に、口の中に装置を入れても大丈夫な様に、口の中の敏感さを取る、着脱式の装置を入れます。この事を脱感作(だつかんさ)と言います。この時点で、どの様な装置が適切か?を判断します。ここで問題なければ、矯正中は、他の子供たちも施術していますので、食事・学習面では可能と思われます。
① 下顎前歯部の歯並びが気になる。
② 上顎正中の歯と歯の間が開いている。(祖母がすきっ歯なので、隙間が空くと可哀想)
③ 上顎左右の側切歯の歯が生える場所が無い
永久歯が全て生える為の場所を確保致します。
上下顎の発育不足が考えられますので、上下顎骨の「発育を促す」装置が必要になります。最初に使用する矯正装置は、口の中に装置を入れられる準備をするために、取り外しの出来る「プレオルソ」「ビムラー矯正装置」を使用します。他に、使用する装置は、「RME矯正装置」「家でのみ使用するフェイシャルマスク」「ブラケット装置」「上下顎3DL」「床(しょう)矯正装置」です。この装置は、発育期のお子さんの顎の発育を支援と場所を確保するために効果的に働きます。最初の1ヵ月間は、装置の効果確認が必要なため、2~3週間に一度調整が必要ですが、その後は、装置が順調であれば、清掃・調整のため、一ヶ月に一度の来院になります。
また、この時期は、色々な装置が使用できる時期でもあり、この事が、成長期の矯正の最大のメリット(利点)になります。
こども矯正の先生へのお願い
「健康的な発育を促す歯列育成法(矯正)」
西村歯科医院 院長 西村 真
現在、かみ合わせ治療のため、歯列育成治療の装置を使っています。つきましては、教育的立場からのご協力とご配慮のお願いのため、ご連絡させていただきました。
歯列育成矯正治療の装置は、顎の発育を促すため、歯の裏側に装着しております。そのため、発音しにくく、食事の際にかみにくいなどの状態になります。国語、英語などの音読や、給食の際にご配慮をいただきますようにお願い申しあげます。
この装置の最大の特徴は、鼻呼吸のできる口腔育成にあります。成長期の上顎骨の発育を促すことにより、口腔と裏表の関係にあるといえる、鼻腔の拡がりも期待できる装置となります。上顎骨は15歳前後まで成長しますが、今の時期が一番旺盛であり、この時期に歯列育成装置を使用することは、大変有効なことなのです。
将来、「鼻閉」で困らない呼吸器の育成を目指しておりますので、なにとぞよろしくお願い申しあげます。
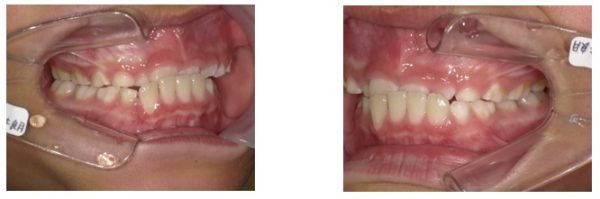
西村歯科医院に、ご相談に来た患者さんです。
生年月日 平成〇〇年12月〇〇日 8歳4か月 男性
(* 矯正治療説明書の有効期限は、歯根状況により変化する為、4ヶ月間となります。)
(症状、患者さんの主訴について)
①反対咬合
②嚥下障害
③咀嚼障害
(特記事項)
①父親が反対咬合のため心配しているが、Drによって中学生からでも良いと言われ、
いつ頃よいか?心配である。
②本人も少し飲み込み難いと感じている。食事時間も遅い様です。
③母親の思うには、矯正の先生から色々と話を聴いた結果、「本人の骨格に問題があるので咀嚼し難いと思う」との事。
④H30年4月頃 2つの歯科医院 矯正の相談をしています。
石巻デンタルクリニック
(治療方法)上顎ワイヤー→下顎装置Set→ヘッドギアSet→舌小帯切除術
坂井おとなこどもクリニック
(治療方法)ネオキャップSet→ビムラー装置Set
⑤母親より、Drにより治療時期・装置・方法が違うので、聴けば聴くほど、
何が良いか?分からなくなる。
下顎は、年齢と共に出て来るものと思うので、将来、手術も考えている。
⑥「さ行」の発音が悪いので、言葉の教室(矢本赤井小学校の言葉の先生)に、毎年見て頂いてるが、あまり問題は無いとの事
⑦「態癖」が有ります。→右向き寝・右頬杖
花粉症 2月~6月 投薬を受けている。 〇〇耳鼻科
喘息あります。今は落ち着いている。
鳴瀬中央歯科に通院している。
通院可能な時間帯 17時30分~18時00
火 サッカー
木 サッカー
金 習字
土 サッカーと 塾
日 サッカー






当院でお配りしている矯正についての解説漫画を無料でお送りいたします。


