宮城郡の歯医者/小児・矯正歯科/土曜診療/西村歯科医院

子ども専門の矯正歯科医院
にしむらしかいいん

西村歯科医院

お気軽にお問い合わせください。WEBからは24時間いつでもOK!
ご予約
お問合せ
022-353-4092

[月〜金] 9:30~13:00 / 15:00~18:00
[土] 9:30~13:00 / 15:00~17:00
[休] 水・日・祝 ※火は不定休

ご予約はこちら 24時間受付 無料メール相談
  • 子ども矯正相談!

  • 子ども矯正

  • 診療科目

  • 医院情報


  • 診療時間

     

    [月・火・木・金]
    9:30~13:00/15:00~18:00
    [土]
    9:30~13:00/15:00〜17:00
     [休診日] 水・日・祝
    ※火曜日は不定休です。来院の際は一度お問い合わせ下さい。(火曜日のみにしかご来院いただない方のために不定休にしております)

    アクセス

       〒981-0212 宮城県宮城郡松島町磯崎105-3

    ※駐車場13台完備

    ・松島駅からホテル「松島一の坊」を目指して奥松島方面に車で向かって3分、産直近く
    ・松島海岸ICから三陸自動車道15分
    ・駐車場は第二駐車場も含め計13台分有

    医院紹介動画

    衛生士さん募集

    衛生士さん募集

    求人動画

    院長動画


    スタッフ動画

    みんなの食育支援歯科

    みんなの食育支援歯科

    歯医者ガイド

    小児矯正の解説マンガ

    当院でお配りしている矯正についての解説漫画を無料でお送りいたします。

    お申し込みはこちらから

    ご予約

    西村歯科医院 EPARK 口コミ

    当院では保険証マイナンバーカード両方使用できます

    こども矯正は生活習慣病予備軍

    西村歯科医院 医院ブログこども矯正は、生活習慣病予防にもなります。
    こどもが、矯正のために歯科医院に通院します。
    毎回、お口の清掃歯ブラシ指導を歯科衛生士に教えて頂きます。
    そうなるとどうでしょうか?
    いつの間にか、むし歯にならない様に、生活習慣気を付ける様になります。
    これが、虫歯予防=生活習慣予防に繋がるのです。
    社会人になる前に、自己管理ができる大人を育てる支援を目的として
    西村歯科医院は、子供の矯正を始めています。


    「ブドウ糖果糖液糖」は、注意!

    「高校生の4割が生活習慣病予備軍」という衝撃的な事実を挙げていますが、これは「食品の裏側」の販売翌年からの調査結果ですので、現在この状況はますます悪化しているといえます。実際、地域で食育活動をする中で、「高校生ですら保険に入れない」という驚愕の事実を目の当たりにした加工食品診断士もいらっしゃいますが、食品添加物の摂取が招く子どもへの健康被害の中で、今までまだ触れてこなかった、「脳への影響」について今日は触れたいと思います。大手メーカーの清涼飲料水には漏れなく入っていると言っていい、「ブドウ糖果糖液糖」。原料はアメリカ産のトウモロコシで、需要をまかなう年6億トンものトウモロコシを作るには、遺伝子組換えをして、飛行機で農薬をまかなければなりません。そのでんぷんを工業的に酵素まで分解して、「ブドウ糖」と「果糖」にします。水の中に1割くらいこのブドウ糖果糖液糖を加えた状態で飲ませると、子どもたちは、「甘すぎてとても飲めない!」と言います。ところが、クエン酸とアスコルビン酸で酸味を加え、レモン・オレンジ・メロンなどの香料を加えると・・・「おいしい」と一気に飲めてしまうのです。加工食品診断士になった方々は、安部先生お手製の必殺の「添加物キット」を使って、この大きな変化を話を聞く親子の目の前で実演してみせることで、親子の価値観に大きなインパクトを与えることに成功していますが、さっきまで甘すぎて飲めなかったものが添加物のおかげで美味しくなった結果、何が起こるか。子ども達は、500mlの清涼飲料水一本で、何と計量カップに半分程度の砂糖と同じ量の糖分を取ることになります。平均的に、500mlの清涼飲料水は、その10~12%がシロップですが、これを砂糖に換算すると50~60gになります。1本3gのスティックシュガー、なんと20本分です。【完全な糖分摂取過多】です。それが健康にどう影響を及ぼすか。砂糖は体内でブドウ糖と果糖の2つに分かれて吸収されるのに対し、ブドウ糖果糖液糖は、最初からブドウ糖と果糖に分かれているので、あっという間に吸収され、血糖値が一気に跳ね上がります。すると脳はこれを異常と捉えて、血糖をコントロールするすい臓に命令を出し、すい臓から大量のインスリンが分泌されて糖分を吸収し、今度は血糖値が急激に下がります。この低血糖状態が無気力や倦怠感の原因になります。さらには、脳が通称“攻撃ホルモン”のアドレナリンを過剰に分泌すると、「キレる」状態を引き起こすと言われています。これが、食品添加物の摂取によって引き起こされる子ども達の「脳への影響」、そして、「キレる子供の育て方」です。糖分摂取過多は、もちろん生活習慣病の代表格である糖尿病にも直結します。ゆえに高校生の4割がその予備軍になっているわけですが、「ジュースを飲まないとイライラする」「いつもだるい」そんな子どもがいたら、糖尿病の予備軍の可能性もあると考えて下さい。
    また、生活習慣病改善の指導は、西村歯科医院では、矯正治療をしながら取り組んでいます。宮城県で、食育支援歯科を唯一獲得している歯科です。食育支援歯科は、食べ物の食べ方を指導する歯科医院として登録を受けている歯科医院です。前歯を良く使う事で、全ての歯を使う食事が出来ます。この習慣が、歯並びを良くし、そして、食への関心を高め、生活習慣の改善に役立つ事を、西村歯科医院では実感していますので、今後も重点的に指導してい行きたいと思います。


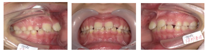
    (症例)相談事例です。

    生年月日 平成〇〇年7月22日 8歳0か月 男性

    (* 矯正治療説明書の有効期限は、歯根状況により変化する為、4ヶ月間となります。)

    (症状、患者さんの主訴について)
    (主訴)上顎前歯が、「ハの字」になっているのが気になる。

    西村歯科医院 医院ブログ

    【重要事項】

    親戚に反対咬合の患者さんの有無 なし
    態癖 あり
    両側頬杖・右下横向き
    低反発枕は使用してない。
    鼻閉 なし
    金属アレルギー なし
    一番聞きたい事 料金・期間について
    むし歯治療の経験 なし
    習慣的の飲み物・食べ物 なし
    永久歯の先天的欠如 なし(全てあります。)智歯は、不明。
    おやつの取り方 あまり決まっていない。

    (これまでの経過)
    ・平成◎◎年11月27日(4歳4か月)転倒し、下顎右側乳中切歯打撲。
    ・平成〇〇年 歯つらつファミリーコンクール応募
    ・令和〇〇年7月17日西村歯科医院に、「歯石取り」「歯並び相談」で、来院。

    西村歯科医院に お気軽にご相談ください。

    ご予約
    お問合せ
    022-353-4092

    〒981-0212 宮城県宮城郡松島町磯崎105-3

    三陸自動車道 松島海岸IC下車10分/駐車場13台 完備!

    お問い合わせはこちら 24時間受付

    松島駅からホテル「松島一の坊」を目指して奥松島方面に車で向かって3分、産直近く / 松島海岸ICから三陸自動車道15分 / 駐車場は第二駐車場も含め計13台分有

    >
    診療時間
    9:30~ 13:00
    15:00~ 18:00 〜17時

    [休診日]  水・日・祝 ※火曜日は不定休です。
    来院の際は一度お問い合わせ下さい(火曜日のみにしかご来院いただかない方のために不定休にしております)。

    (ご来院時にご持参いただくもの)
    ①マイナンバー
    ②受給者証(お持ちの方のみ)
    ③紹介状(お持ちの方のみ)
    ④お薬手帳
    以上、西村歯科医院からのお知らせです。

    PAGE TOP