宮城郡の歯医者/小児・矯正歯科/土曜診療/西村歯科医院

子ども専門の矯正歯科医院
にしむらしかいいん

西村歯科医院

お気軽にお問い合わせください。WEBからは24時間いつでもOK!
ご予約
お問合せ
022-353-4092

[月〜金] 9:30~13:00 / 15:00~18:00
[土] 9:30~13:00 / 15:00~17:00
[休] 水・日・祝 ※火は不定休

ご予約はこちら 24時間受付 無料メール相談
  • 子ども矯正相談!

  • 子ども矯正

  • 診療科目

  • 医院情報


  • 診療時間

     

    [月・火・木・金]
    9:30~13:00/15:00~18:00
    [土]
    9:30~13:00/15:00〜17:00
     [休診日] 水・日・祝
    ※火曜日は不定休です。来院の際は一度お問い合わせ下さい。(火曜日のみにしかご来院いただない方のために不定休にしております)

    アクセス

       〒981-0212 宮城県宮城郡松島町磯崎105-3

    ※駐車場13台完備

    ・松島駅からホテル「松島一の坊」を目指して奥松島方面に車で向かって3分、産直近く
    ・松島海岸ICから三陸自動車道15分
    ・駐車場は第二駐車場も含め計13台分有

    医院紹介動画

    衛生士さん募集

    衛生士さん募集

    求人動画

    院長動画


    スタッフ動画

    みんなの食育支援歯科

    みんなの食育支援歯科

    歯医者ガイド

    小児矯正の解説マンガ

    当院でお配りしている矯正についての解説漫画を無料でお送りいたします。

    お申し込みはこちらから

    ご予約

    西村歯科医院 EPARK 口コミ

    当院では保険証マイナンバーカード両方使用できます

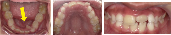
    症例(1)

    利府町の矯正相談の患者さん 8歳6か月 女性

    ① 左下前歯が内側から生えてきて、本人・母親・父親が気になる。

    (一番聞きたい事)
    料金・期間・矯正しない場合の影響について聞きたいです。

    西村歯科医院 医院ブログ

    (これまでの経過)
    利府デンタルクリニックに相談したら、ここではできないので、様子見ましょうといわれたため。ネットで調べて、西村歯科を受診。

    診断名:下顎側切歯舌側転位を伴う上下顎前歯部叢生

    西村歯科医院 医院ブログ

    (矯正開始の判断基準)
    子供の矯正をするか?しないか?の判断基準は、顎の成長が順調に成長させる環境(咬み合わせ・うつ伏せ寝・お口ぽかんなど)になっているか?又は、遅延する環境になっているか
    ?で判断します。この患者さんの場合は、下顎前歯が内側に生えているために、舌が動かし辛くなっています。そのため、食べる時の飲み込み、発音、睡眠等に影響を与える状態です。
    下顎前歯内側に生えている状態を改善しなければ、身体の発育に影響する可能性があります。顎の成長期間は限られており、中学卒業までに90%の成長が終了するため、早期に介入することにより顎の成長を促す期間が長く確保できます。
    この患者さんの場合は、歯の生える場所がありませんので、この期間を長く確保する必要があります。

    西村歯科医院 医院ブログ

    では、顎の成長の遅延はどこで判断するでしょうか?
    →それは、下顎4前歯部の生え変わりで判断します。
    前歯が、重なっている場合は、顎の横幅が狭いことになり、顎の成長が、遅延していると判断します。大切なのは、「なぜ?」顎の遅れが生じたのか?が大切です。
    例えば、「指しゃぶり」をしていると前歯が前突になったり、うつ伏せ寝を継続すると歯列が反対咬合になる様に、つまり、不正咬合には何らかの原因があります。そのことを解消し、順調な発育にする事が、子供矯正の目的です。
    これは、大人の矯正では、原因を改善しても歯並びは改善しないため、子供の矯正と大人の矯正と大きな違いになります。
    また、顎の成長は部分的なものではなく、顔の成長の中で総合的に成長します。特に、口の成長は、呼吸・関節・嚥下・睡眠とも関連し、お子様の成長に深く関わっています。
    以下の習慣は、ありませんか?この習慣を気を付けることにより、不正咬合が改善する場合があるのは、成長期にある子供の時期だけです。大人になってから改善する事はありません。
    ここが、子供の矯正と大人の矯正との大きな違いです。
    歯並びを悪くする習慣 改善して行きましょう。

    西村歯科医院 医院ブログ

    ■重要事項

    親戚に反対咬合の患者さんの有無 なし
    態癖

    ※「うつ伏せ寝」が、顎の発育に影響します。
    気が付いた時には、保護者の方が、
    「仰向け」に直しましょう。
    →矯正治療では、態癖を辞める事が、
    身体の歪みを改善する事になり、
    最終的には、歯並びの改善に繋がりますので、
    保護者の方、本人、歯科医院で、
    協働で辞める様に努力しましょう。
    あり

    うつ伏せ寝
    ※机の上に顎を乗せるなど、学校生活等で行っている場合も
    有りますので、観察をして行きましょう。
    矯正治療上、歯が不測の事態に動くことがありますので、
    発見した場合は、西村歯科医院に申し出て下さい。
    顔の変形にも繋がりますので、
    保護者の方と西村歯科医院の協力で、
    注意を促しましょう。
    低反発枕は使用してない。
    いびき(多少あり)、寝起きは、悪い
    夜尿症なし、中耳炎なし
    鼻閉
    なし

    ダニのアレルギーのため、耳鼻咽喉科クリニックより、
    投薬を受けている。
    金属アレルギー なし

    母親が、ピアスのアレルギーかもしれない。
    (検査はしていません。)
    むし歯治療の経験 なし

    麻酔の時は、きちんと説明して欲しい。
    以前、何も説明されず麻酔をされて怖かった。
    「注射」というと、お子さんが怖がるので、
    麻酔と言い換えましょう。
    永久歯の先天的欠如 なし(永久歯は全てあります。)

    智歯の存在は、不明です。
    10歳前後に、智歯が発現する場合があります。
    抜歯を必要とする場合は、智歯の深さにもよりますが、
    西村歯科医院で行う場合と、
    大学へ紹介する場合があります。
    楽器の習い事予定
    楽器を使用すると、歯並びが悪くなる場合があり、
    将来、使用する予定がある場合は、
    申し出てください。

    (レントゲン所見)
    ①手根骨レントゲン

    西村歯科医院 医院ブログ
    西村歯科医院 医院ブログ

    手根骨レントゲンは、成長期にあります。

    ②パノラマレントゲン像

    西村歯科医院 医院ブログ

    智歯以外は、永久歯は全て存在しています。智歯に関しては、将来 出来てくる場合が有り、智歯の生え方や智歯の深さによりますが、矯正で動かない場合,又は、後戻りの原因になる場合は、
    西村歯科医院 医院ブログ大学での抜歯紹介も必要な場合があります。その時は、矯正による抜歯になりますので、自費治療になり、目安として、1本約15,000円必要になります。また、上顎の歯が、密集しており、上顎骨の劣成長(狭い成長)が考えられます。この事は、上顎骨劣成長→鼻腔狭窄→鼻閉→口呼吸習慣に至る傾向にあります。「いびき」・睡眠時無呼吸症候群・寝起きが悪い・中耳炎・夜尿症・などの原因になり易くなります。)

    (模型所見)歯の大きさ(歯幅mm)▶

    ■歯の大きさ

    場所(部位) 本人の歯幅径(mm) 日本人の平均女性 差(+・-)mm
    上顎中切歯 右側  9.4
    左側  9.3
    8.24mm + 1.16
    + 1.06
    下顎中・側切歯 (右側)
    中切歯 6.3
    側切歯 5.6

    (左側)
    中切歯 5.6
    側切歯 7.0
    5.19mm (右側)
    + 1.11
    + 0.41

    (左側)
    + 0.41
    + 1.81

    (診断)上記の表から
    前歯の大きさは、平均値より0.5mm以上 大きい歯が4本あります。
    本症例の模型・レントゲンから生えてくる歯も大きい歯である可能性があり、矯正装置を使用しても、歯が生える場所が確保できない場合は、将来 ディスキング(削合)や、抜歯が必要な場合があります。この処置は、将来の後戻り防止対策としても有効です。


    (ディスキングは、以下の図にあります。)

    西村歯科医院 医院ブログ

    ディスキング(削合)について

    歯の表面を、0,5mm程度、形態修正をし、歯と歯同士が点ではなく、面で接触する様にします。
    この事により、後戻り防止効果があります。この方法は、全世界で行われています。
    むし歯になる事はありません。虫歯が出来る場合は、飲食や飲食の時間帯が原因の場合が多いのです。

    (治療期間と治療装置について)
    大きな流れとしては、(第Ⅰ期治療)→(再評価)→(第Ⅱ期治療)の3Stepになります。

    (第Ⅰ期治療)→顎の発育を促す期間(~13歳頃までです。)
    (再評価)→顎が充分発育したか?を再検討する時期です。抜歯か?ディスキングか?
    大学への紹介か?検討します。
    (第Ⅱ期治療)→歯を並べる期間 の3Stepになります。

    もう少し詳しく説明致します。
    (第Ⅰ期治療)この時期は、矯正装置により狭い「顎の発育を促す期間」です。
    (歯の生える場所と、下の顎が制限なく自由に動かせて食事が食べやすい状態に、かみ合わせを作ります。)
    ②(再評価)中学生の時期に上顎骨の成長は、約90%が完成します。
    12歳以降は、下顎の前方への発育が、盛んになります。(受け口になる可能性が高くなり、受け口になるのはこの時期です。)
    *基本的には、西村歯科医院は、発育を促す矯正を中心にしていますので抜歯をしない矯正が主体です。しかし、抜歯矯正が必要な発育をする場合もあり、その時は、大学へご紹介をいたします。また、外科(顔の手術)矯正の必要性についても、その必要性が予見できた時点でご説明致します。その場合は、高校生まで待って、「保険適用の外科矯正」になる場合もあります。(顎変形症の診査も、併せて行います。)
    その時の治療費の返還は、ある程度改善している場合が多く、治療費の返金はあるため来院をします。

    西村歯科医院に お気軽にご相談ください。

    ご予約
    お問合せ
    022-353-4092

    〒981-0212 宮城県宮城郡松島町磯崎105-3

    三陸自動車道 松島海岸IC下車10分/駐車場13台 完備!

    お問い合わせはこちら 24時間受付

    松島駅からホテル「松島一の坊」を目指して奥松島方面に車で向かって3分、産直近く / 松島海岸ICから三陸自動車道15分 / 駐車場は第二駐車場も含め計13台分有

    >
    診療時間
    9:30~ 13:00
    15:00~ 18:00 〜17時

    [休診日]  水・日・祝 ※火曜日は不定休です。
    来院の際は一度お問い合わせ下さい(火曜日のみにしかご来院いただかない方のために不定休にしております)。

    (ご来院時にご持参いただくもの)
    ①マイナンバー
    ②受給者証(お持ちの方のみ)
    ③紹介状(お持ちの方のみ)
    ④お薬手帳
    以上、西村歯科医院からのお知らせです。

    PAGE TOP